av线上

av线上中心

【走进病理检测】“细胞蜡块”让癌细胞显露真身

发布日期:2023-04-26    浏览量:9400

细胞蜡块技术是将取自患者体液的细胞进行离心收集、沉淀、固定脱水、石蜡包埋,切片染色等40多个复杂的工序后在显微镜下观察的技术,能够更大程度实现对细胞来源和良、恶性的病理诊断。

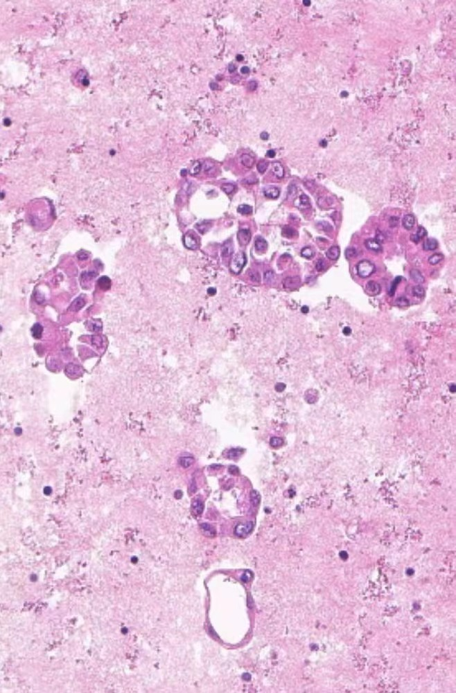
16824747157916.png

细胞蜡块HE染色 腺癌

为什么要做细胞蜡块?

常有患者因不明原因的胸/腹水到医院就诊,有时候临床高度怀疑恶性胸/腹水,但因受积液干扰,影像学检查有时无法准确呈现病灶;部分患者也难以通过内镜、穿刺活检或手术切除等途径获得组织标本;对于年老体弱、晚期肿瘤患者,组织标本的获取更为困难。此时,穿刺引流的胸/腹水就成为了实现病理诊断非常珍贵的标本。传统的细胞涂片是最基础的细胞学制片,在病理科已被广为应用,但这一方法也有不可忽视的缺点:单一的细胞学涂片缺乏组织学结构且细胞易发生退变,导致假阴性率较高;且仅从形态学上较难确定肿瘤细胞的来源和具体类型,给疾病的诊断带来了很大困扰。但是细胞蜡块技术能够很好地弥补上述短板。

细胞蜡块有什么优点?

细胞蜡块技术具有以下优点:

1.细胞蜡块使脱落细胞样本得以长期保存;

2.能最大程度地收集病变细胞,降低漏诊率;

3.脱落的组织碎片更接近组织学形态,能够辅助病理医师更好地观察细胞形态结构,做出更为准确的判断;

4.细胞蜡块可以重复切片,进而行免疫细胞化学染色辅助判断细胞的来源和性质;

5.必要时还可用细胞蜡块行分子病理检测,为晚期或无条件获得组织样本的肿瘤患者靶向药物的基因评估提供检测机会。

16824747734122.png

细胞学免疫组织化学染色

对进行细胞蜡块检测的胸腹水标本有些什么要求呢?

1.样本送检量:临床应尽可能收集100ml以上的浆膜腔积液送检,或在保障患者安全的前提下将收集的体液全部送检;

2.存放容器:存放于硬质不吸水密闭洁净容器,或者将引流袋直接送病检,并清晰标示患者基本信息;

3.送检时间:标本离体后30分钟内应送至病理科,如暂时无法送检,应将标本冷藏在0-4℃冰箱内,冷藏时间小于24小时。有条件的还可以在标本中加入10%中性甲醛固定液(加入量应为送检体液量的1/5)。

16824748009669.png

细胞蜡块制作过程

总之,细胞蜡块技术大大提高了细胞病理学诊断的敏感性和准确性。不仅可以检测出体液中是否含有恶性肿瘤细胞,而且有机会进一步判断肿瘤细胞的来源,同时还能行分子病理学检测,为进一步提高肿瘤的诊断和可能的靶向治疗提供了良好的帮助。


文图:病理科