近日,昆医大附二院重症医学科联合呼吸与危重症医学科二病区使用体外膜肺(ECMO)治疗,成功挽回了一名生命垂危的重症肺炎、重度ARDS患者的年轻生命。出院前,患者及家属恳切地表达了对医护人员的感激之情:“衷心感谢医院的每一位医护人员,是你们给了我第二次生命,你们辛苦了。”

疾病来袭,健康之躯难抵暗流汹涌
患者王某,36岁女性,因“发热、咳嗽、咳痰6天”,于3月16日入住医院呼吸与危重症医学科二病区。经纤维支气管镜、宏基因测序等检查,次日确诊为重症支原体肺炎。尽管接受了积极治疗,患者病情仍持续恶化,出现呼吸困难、高热不退、氧合下降等症状。3月18日,经会诊后转入重症医学科(MICU)。
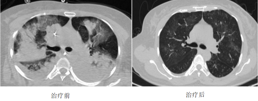
此时,患者生命垂危,医护团队立即采取抗感染、肺保护性机械通气、镇静镇痛、纤支镜、抗炎、俯卧位通气等一系列治疗措施。然而,患者病情未见缓解,血压和氧合难以维持,在呼吸机纯氧模式下,氧饱和度仅能维持在80%左右。CT显示双肺已呈“白肺”,随时可能出现心跳、呼吸骤停,生命危在旦夕。

紧急启航,ECMO接力生命救援
面对如此凶险的病情,3月20日医院重症医学科、呼吸与危重症医学科二病区专家团队进行了疑难病例讨论,评估病情后一致认为,患者具有静脉-静脉体外膜肺氧合(VV-ECMO)指征。在与家属充分沟通病情并征得同意后,重症医学科ECMO团队迅速集结,争分夺秒为患者建立ECMO体外循环。随着暗红色的血液从患者体内引出,经过膜肺氧合后变成鲜红色回输体内,患者的氧合指标逐渐改善,生命体征趋于平稳。
艰难跋涉,精心救治迎来曙光
在ECMO的支持下,患者的肺部得到了宝贵的休息与治疗时间。俯卧位通气、肠内营养、免疫调理、早期康复、院感防控等一系列治疗措施有条不紊地展开。在万林骏教授、万晓红主任的指导下,ICU医护团队分工明确,24小时床旁监测,根据患者情况动态、个体化调整救治方案。

经过7天的ECMO及综合救治,患者肺部功能明显改善,成功撤离ECMO。2天后,患者顺利脱机拔管。当患者说出“好喘多了”时,医护人员的所有努力都得到了回报。4月1日,患者从重症医学科转回呼吸与危重症医学科二病区,并于4月8日康复出院。
该名患者的成功救治,充分体现出昆医大附二院联合诊疗能力及重症医学科危急重症患者综合救治能力,彰显了医护人员捍卫生命的责任与担当。每一次在生死边缘的力挽狂澜,都是用专业与爱心铸就生命的守护堡垒,更是医者仁心的生动诠释。昆医大附二院全体医护人员将不断努力,全力守护人民群众的生命健康。
文图:重症医学科