近日,昆医大附二院心血管内科楚天舒团队凭借精湛的医术,创新性地运用主动脉内球囊反搏(IABP)联合体外膜肺氧合(ECMO)技术,成功为一名患有复杂左主干四分叉病变的患者实施了高难度介入手术,帮助患者转危为安。目前,该患者已脱离ECMO支持,转入心血管内科继续进行心脏康复阶段治疗。

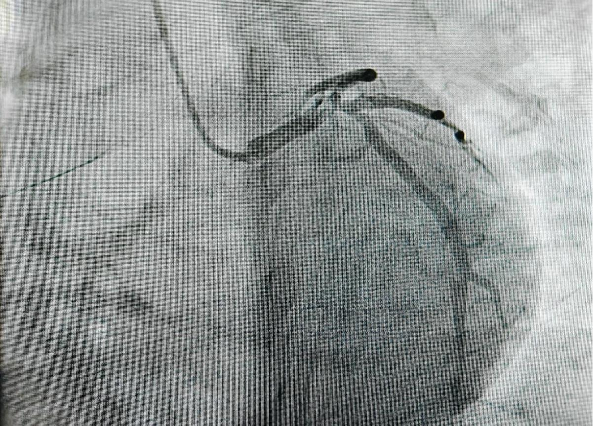
患者最初因胸痛前往当地医院就诊,当地医院通过冠脉造影检查发现,患者左主干末端呈现真性四分叉病变,且多支血管存在严重狭窄的情况,病情十分危急。鉴于患者病情的复杂性,当地医院联系了昆医大附二院,随后患者转入院内进一步治疗。心血管内科楚天舒团队接诊后,立即启动应急响应机制,从决定为患者实施ECMO上机,到成功建立循环支持,仅耗时28分钟,为抢救患者赢得了宝贵时间。本次手术中,手术团队创造性运用主动脉内球囊反搏(IABP)+体外膜肺氧合(ECMO)双循环支持系统(IABP + ECMO), ECMO能够有效确保患者的血液循环稳定, IABP可以减轻心脏负担,改善心肌供血,两者协同配合,大大降低术中心脏骤停的风险,极大地提高了手术的安全性。

手术实施双主刀制度,由心血管内科介入团队与MICU紧密合作,确保循环支持与血运重建同步进行,全方位保障手术的顺利开展。术后,采用目标导向镇静策略,精准管理确保患者在48小时内成功撤除ECMO,有效降低了患者术后并发症。
此次手术的成功,是昆医大附二院多学科协作模式多年来成功运行的又一硕果,不仅展示了医院心血管内科医学技术的创新力量,而且它进一步表明了,在面对复杂高危心血管疾病时,多学科、多技术的整合运用,能够打破传统治疗的局限,为患者开辟新的生命通道。
科普小知识
左主干四分叉病变一直被视为冠心病介入治疗领域的“禁区”。主要源于其显著的高危特性:
1. 解剖结构极其复杂:左主干末端同时分叉为前降支、回旋支以及两个中间支。这就要求在手术过程中,支架定位必须达到毫米级的精度,对手术操作的精准度提出了极高要求。
2. 血流动力学极为脆弱:术中任何细微的操作,都可能如同引发“雪崩”一般,导致血流阻断。一旦出现这种情况,70%以上的心肌会瞬间陷入缺血状态,严重威胁患者生命安全。
3.并发症风险大幅叠加:相关统计数据显示,单纯左主干病变手术的死亡风险高,而当合并多支病变时,死亡风险更高。
文图: 心血管内科二病区