近日,av线上
神经外科一病区在蒲军主任的指导下,由黄晓斌、张明副主任医师及王和平博士团队为一位小脑上动脉动脉瘤患者成功实施了医院首例自膨式动脉瘤内栓塞系统(WEB)颅内动脉瘤栓塞术。该手术的成功实施,代表神经外科一病区在治疗颅内动脉瘤常规开颅夹闭及支架辅助栓塞的基础上,又多了一项快速可靠的手术方式。

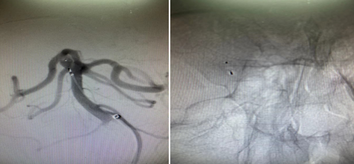
患者28岁,因反复头痛头晕在当地医院检查提示基底动脉顶端动脉瘤。患者患有高血压,基底动脉动脉瘤随时可能破裂致自发颅内出血,严重时可能致残致死。因该位置手术风险较大,地州医院无法手术,于是患者辗转来到昆医大附二院神经外科一病区。入院后,神经外科一病区为患者行全脑血管造影,提示右侧小脑上动脉动脉瘤。

该动脉瘤位于右侧小脑上动脉及大脑后动脉之间,宽颈,常规栓塞较为困难,支架置入难度较大,若置入支架辅助栓塞,后期患者需抗凝抗血小板治疗较长时间;开颅手术夹闭则创伤较大,恢复时间较长。蒲军主任在仔细阅读患者DSA造影资料后,提出可行现最新的自膨式瘤内栓塞系统治疗该动脉瘤,在告知家属病情及相关情况后,患者家属同意行该手术。
经过周密的术前检查,在蒲军主任的指导下,黄晓斌及张明副主任医师、王和平博士团队顺利为患者实施了自膨式栓塞系统小脑上动脉动脉瘤栓塞手术。手术时间20分钟,完整填塞动脉瘤,术后造影提示动脉瘤未显影,周围各支重要血管血流正常。术后,患者恢复良好,无任何神经功能障碍,无需服用任何特殊药物,并于3天后出院。

以往,颅内动脉瘤的治疗以开颅手术夹闭及介入栓塞为主,开颅手术创伤较大,部分患者无法接受,而介入手术在治疗相对宽颈动脉瘤时都需要支架辅助,后期患者需长时间服用阿司匹林及硫酸氢氯吡格雷片以预防支架内血栓形成,并且可能增加其他器官出血风险,会增加患者的经济及心理负担。自膨式动脉瘤内栓塞系统为最新技术,在动脉瘤内置入该系统后,动脉瘤栓塞致密,大大降低患者出血风险,并且术中无需支架辅助,后期患者无需服药,恢复较快。
近年来,神经外科一病区在高效完成常规颅脑肿瘤、颅脑创伤及脑血管疾病开颅手术的基础上,已安全开展全脑血管造影1000余台,脑血管疾病介入治疗200余台。今后,科室将继续努力,不断提高及完善各项诊疗技术,不忘初心,砥砺前行,为广大患者提供更好更优质的服务。
科普小知识
脑动脉瘤的定义
颅内动脉瘤是指脑动脉内腔的局限性异常扩大造成动脉壁的一种瘤状突出。颅内动脉瘤多因脑动脉管壁局部的先天性缺陷和腔内压力增高的基础上引起囊性膨出,是造成蛛网膜下腔出血的首位病因。
脑动脉瘤的病因
动脉瘤发病原因尚不十分清楚,动脉瘤形成的病因,概括有以下几种:①先天性因素;②动脉硬化;③感染;④创伤。此外还有一些少见的原因如肿瘤等也能引起动脉瘤,颅底异常血管网症,脑动静脉畸形,颅内血管发育异常及脑动脉闭塞等也可伴发动脉瘤。
脑动脉瘤的症状
动脉瘤一旦破裂出血,临床表现为严重的蛛网膜下腔出血,发病急剧,患者剧烈头痛,形容如“头要炸开”。频繁呕吐,大汗淋漓,体温可升高;颈强直,克氏征阳性。也可能出现意识障碍,甚至昏迷。部分患者出血前有劳累,情绪激动等诱因,也有的无明显诱因或在睡眠中发病。
脑动脉瘤的诊断
颅脑血管CTA增强扫描(CTA)是诊断脑动脉瘤常规方法,虽然在确定动脉瘤的存在,大小或位置等方面不如脑血管造影,但是,却安全,迅速,患者无痛苦,不影响颅内压,可以随时采用,并能反复多次随诊观察。但最后动脉瘤的诊断有赖于全脑血管造影,凡患者有蛛网膜下腔出血,自发的Ⅲ-Ⅳ脑神经麻痹或后组脑神经障碍等,均应行脑血管造影检查。
脑动脉瘤的治疗
1.颅内动脉瘤非手术治疗:主要目的在于防止再出血和控制动脉痉挛等,适用于下述情况。①患者病情不适合手术或全身情况不能耐受开颅;②诊断不明确需进一步检查;③患者拒绝手术或手术失败;④作为手术前后的辅助治疗手段。
2.颅内动脉瘤的手术治疗:颅内动脉瘤患者发生了蛛网膜下腔出血应早期手术(夹闭瘤颈或栓塞动脉瘤),术中采取保护脑的措施(甘露醇,巴比妥类药等),术后扩容治疗,目前对于脑前半循环动脉瘤及后半循环的动脉瘤,椎基底动脉连接部动脉瘤,小脑前下动脉及小脑后下动脉动脉瘤在蛛网膜下腔出血后早期手术,而对基底动脉及大脑后动脉第一部分的动脉瘤多等待其神经症状改善及稳定后再手术。
文图:神经外科一病区