2023年9月26日,av线上
全科医学科沈雯副主任团队和麻醉手术科欧阳杰副主任医师团队为一名48岁的罕见病“肺泡蛋白沉积症”患者成功实施大容量全肺灌洗术,帮助患者重获健康。该手术的成功标志着昆医大附二院呼吸系统罕见病救治能力进一步提高,并在呼吸介入诊疗方面进入一个更高的水平,为尘肺、肺泡蛋白沉积症患者提供更好的治疗手段。

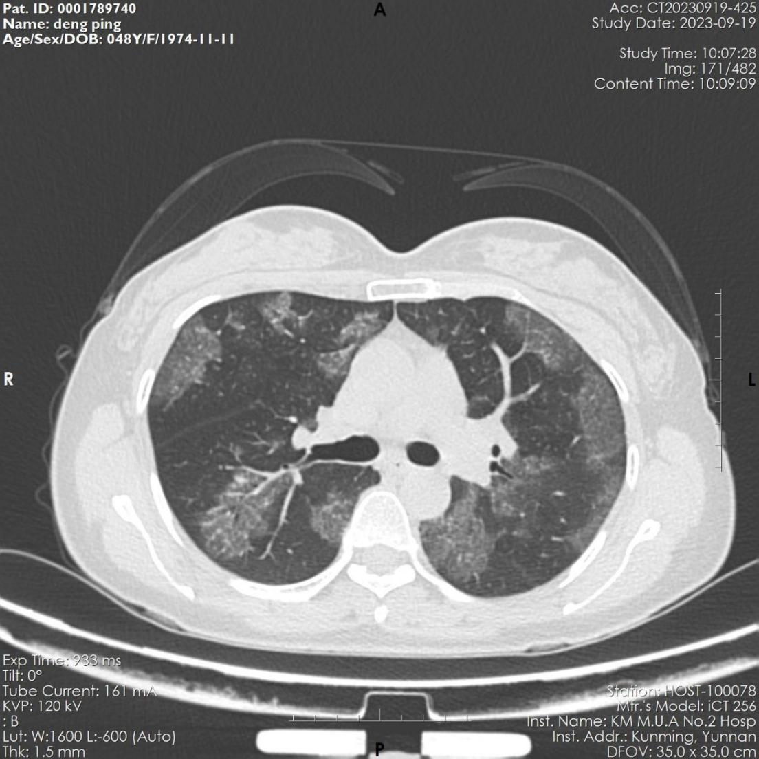
该患者,女,48岁,近3月来反复出现活动后胸闷气促。6月份因感染肺炎住院治疗,经抗病毒治疗后,咳嗽、咽痛等呼吸道症状缓解。9月因胸闷气促再发加重,来到昆医大附二院全科医学科就诊,复查胸部CT显示肺部病变未见吸收,病变呈弥漫磨玻璃影,病变与正常组织分界较清,呈“地图征”,考虑“间质性肺疾病-肺泡蛋白沉积症可能”收住全科医学科。入院后完善电子支气管镜检查示双侧支气管未见明显异常,但各管腔内的肺泡灌洗液呈乳白色,肺泡灌洗液细胞学病理检查示肺泡巨噬细胞中间粉红色颗粒样物质,D-PAS和PAS染色阳性。结合病史、胸部CT、肺泡灌洗液呈乳白色、PAS染色阳性,该患者确诊罕见病“肺泡蛋白沉积症”。



“肺泡蛋白沉积症”是一种肺泡内聚集富有粘性蛋白物质及脂质物质的罕见疾病,发病率约为百万分之一,目前发病原因不明。如果不积极治疗,那么患者最终会因大量的肺泡沉积物导致肺通气及换气功能受损,甚至出现严重呼吸衰竭,而给“肺”洗澡——大容量全肺灌洗术,是迄今为止唯一被证明有效缓解和控制该疾病进展的治疗措施。
了解患者病情后,科室组织了全科讨论并取得患者及其家属知情同意后,决定为患者实施全肺灌洗术。大容量全肺灌洗术不仅对呼吸介入医生技术要求高,还需要麻醉医生紧密配合及对病情的准确评估。为确保手术顺利进行,全科医学科沈雯副主任与麻醉手术科等科室术前进行了充分的讨论、沟通、协调,对全肺灌洗的操作步骤、操作要点、应急预案、人员配备、设备、药品配置及术后观察进行了充分的准备。

9月26日上午,手术在全科医学科沈雯副主任团队、麻醉手术科欧阳杰副主任医师团队和av线上团队密切配合下开始,患者全麻后,行双腔气管插管,检验密闭性,保证左右肺安全隔离,Y型管对单侧病肺进行多次灌洗。开始灌洗出来的液体浑浊,有较多的沉渣及泡沫,随着灌洗的不断进行,洗出的液体逐渐变得清亮,手术历时3.5小时,全肺灌洗总量为11L,术中患者耐受良好,生命体征平稳。术后患者顺利拔管脱机,状况良好。术后复查肺部病灶明显减少,术后第二天患者出院。
科普小知识
肺泡蛋白沉积症肺泡蛋白沉积症(PAP),是一种罕见的肺部疾病,发病率约为百万分之一,主要表现为进行性呼吸道症状,主要依靠病理学提示PAS染色阳性并结合临床表现及影像学表现诊断。主要治疗手段为大容量全肺灌洗术(whole lung lavage,WLL)和人粒细胞-巨噬细胞集落刺激因子雾化治疗。
全肺灌洗术(whole lung lavage,WLL)适应症:肺泡蛋白沉积症、尘肺。
文图:全科医学科 呼吸内镜中心